- Home
- Gastroenterology
Surgical Management of Intussusception in a Young Woman
20242 min read
Medical Article
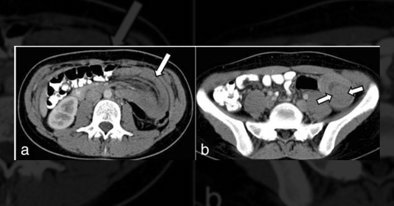
A 19-year-old woman presented to the emergency department with recurrent non-specific cramping and intermittent left lateral abdominal pain lasting four days. Accompanied by nausea and vomiting, she had previously been admitted twice with symptoms of incomplete obstructive ileus, featuring partial gas and feces retention. The patient had no signifi

Surgical Management of Intussusception in a Young Woman
Similar Content

Carpal Tunnel Syndrome due to Tophaceous Gout in Flexor Tendon
282 Reached5 Comments7 Likes

Complicated case of Osteoarthritis
1850 Reached2 Comments3 Likes

Woman presented with Fever of Unknown Origin
7739 Reached93 Comments19 Likes

How Physicians Should Manage Stress?
35340 Reached151 Comments202 Likes

Male with Jaw Pain and Abdominal Bloating
790 Reached24 Comments26 Likes
