- Home
- Gastroenterology
Management of Acute Mesenteric Ischemia-Induced Septic Shock
1y2 min read
Medical Article
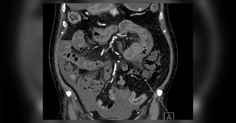
A 60-year-old man with end-stage kidney disease undergoing peritoneal dialysis, alongside uncontrolled type 2 diabetes, and hypertension, presented to the emergency department (ED) post-dialysis with loss of consciousness and breathing difficulties. Physical examination revealed a wide pulse pressure, rapid breathing, and unconsciousness. Upon admi

Management of Acute Mesenteric Ischemia-Induced Septic Shock
Similar Content

Acute Renal Failure in Child Due to High Dose of Indomethacin
685 Reached6 Comments

Use of Clindamycin for Managing Bacterial Vaginosis
11217 Reached29 Comments8 Likes

Chronic Hyperplastic Candidiasis Of The Oral Mucosa
858 Reached9 Comments11 Likes

Study evaluating Effectiveness of Bacillus clausii for Treatment of Rotavirus Infection
1303 Reached4 Comments6 Likes

Autopsy Findings of Deceased Renal Transplant Recipient
594 Reached8 Comments5 Likes
